2026年3月23日 月曜日
ホワイトニングキャンペーン✨
こんにちは🌸
山口です🤗
暖かくなってきましたね~!
何を着たらいいのか・・・毎日悩みながら出勤してます👗💖
卒業・入学シーズンで写真に写ったり、人と会う機会が増える季節ですね😊
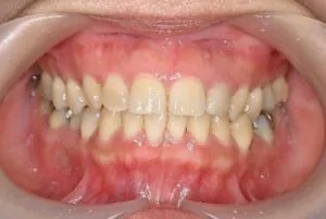
皆さんは、歯の黄ばみや着色が気になって、思いきり笑えないと感じたことはありませんか?
わたしは元々、歯の色がずっとコンプレックスでしたが、
去年初めてホームホワイトニングをしました🦷
ホームホワイトニングは、ご自宅で専用のマウスピースと薬剤を使用し、歯の色を白くします。
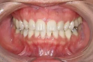
白さが長持ちしやすいというメリットもあります。
コーヒーや紅茶、ワイン、カレーなど飲食物による着色が気になる方や、
清潔感のある印象を目指したい方におすすめです。
白い歯は第一印象を大きく左右し、笑顔に自信を与えてくれます✨
〈BEFORE〉

〈AFTER〉

現在、3月・4月限定キャンペーンとして、通常価格より半額の20,000円+税でご案内しております✨
(初診の方は、ホワイトニングのみのご案内はしておりません。)
大切なイベント前や新生活のスタートに、ぜひこの機会にホワイトニングを始めてみませんか?
ご興味のある方は、お気軽にスタッフまでお声かけください。
投稿者









