- TOP
- 入れ歯
歯が抜けてしまった人へ

義歯は、『人工臓器』に例えられます。
『噛める』ことを取り戻すと、脳に血流が増し、認知症予防にもなることがわかっており、加えて、食べ物もおいしくいただけるようになることからQOL(人生の質)も向上します。
ご自分の歯が無くなっても、決してあきらめないでください。きちんとその方にあった義歯を作れば、噛める喜びを取り戻せます。
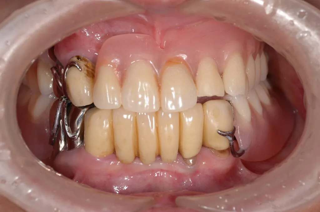
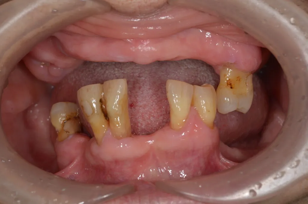
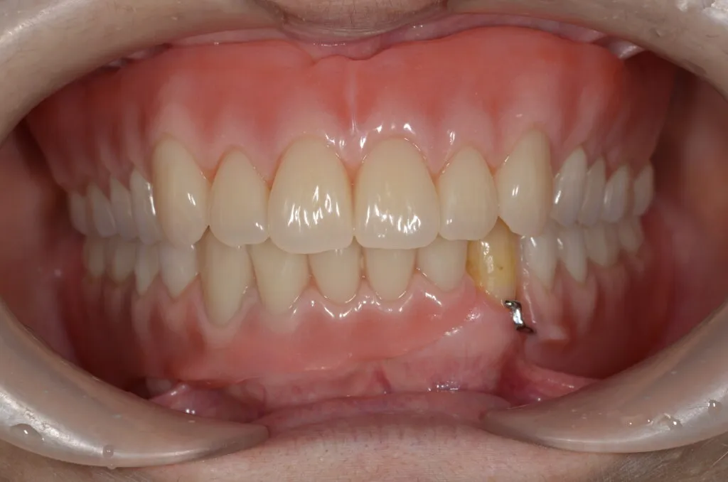
こちらの患者様の場合
【期間】2ヶ月
【費用】¥350,000~¥400,000/片顎(税抜)
【デメリット】精密に製作するため、保険の入れ歯よりも回数・費用がかかります。
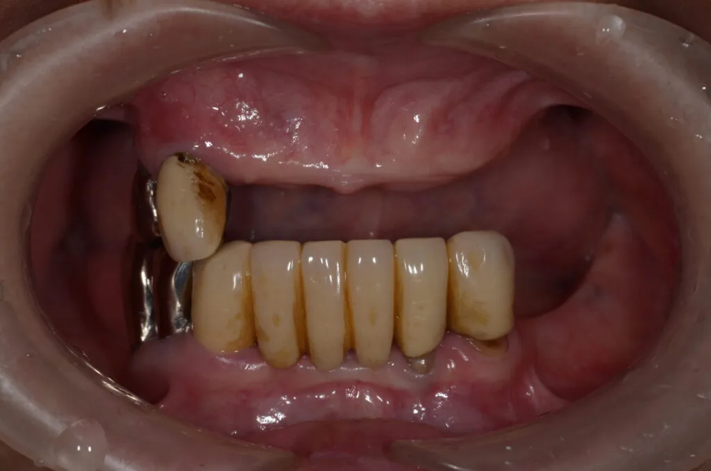
上記写真は当院で上下総義歯を作製した患者さんです
義歯はそのかたに合わせたオーダーメード品

義歯は当院の専門でもあります。
所属しているスタディグループ“GDS(Global Dental System)”では、歯科医師の先生に義歯のつくり方を教えるセミナーなども開催しており、常に最新の情報や技術を学び続けています。
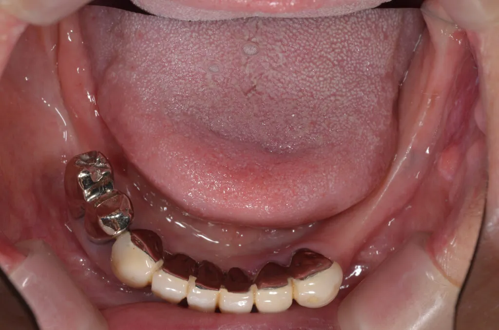
義歯で一番難しいのは総入れ歯で、特に下が総入れ歯になると多くは骨が無くなっているため、入れ歯が安定せずに、食べられないという悩みも多く聞きます。そのため、義歯作製に多くの特殊な知識・技術が必要となります。
当院では、下あごにピッタリと吸着し、リンゴや堅い煎餅でもしっかりと噛める快適な義歯をご提供いたします。
固いせんべいやリンゴ丸かじりも夢ではない!?

義歯が出来上がり、噛めることを実感された患者さんの表情を見れた瞬間が何より嬉しいです。
上下総入れ歯でも、固くて有名な草加せんべいやリンゴ丸かじりできるようになられるかたも多くいらっしゃいます。
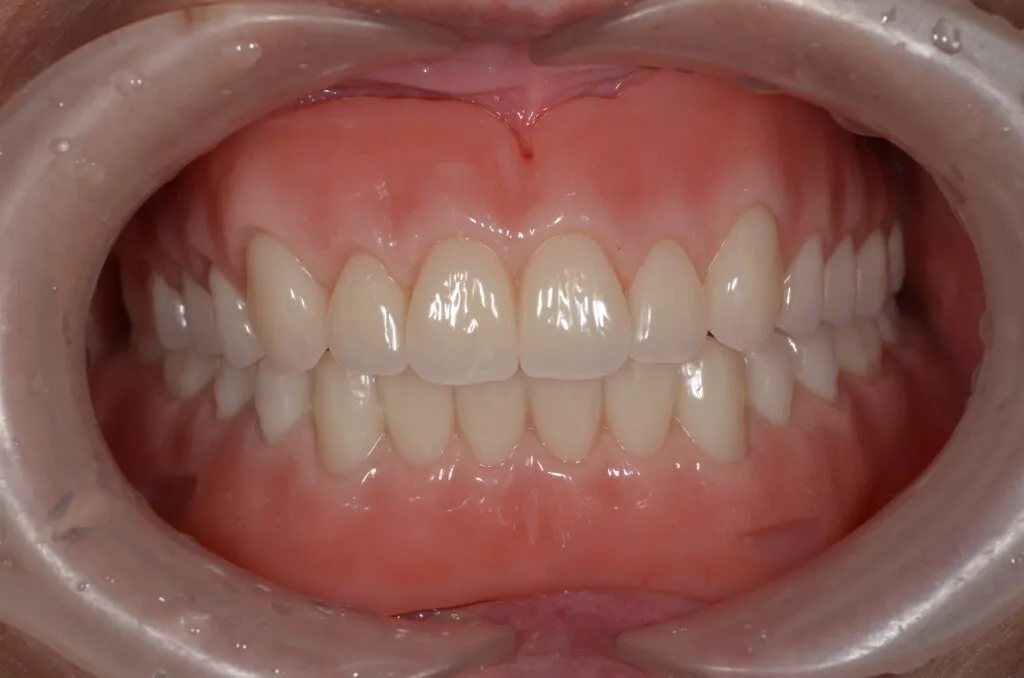
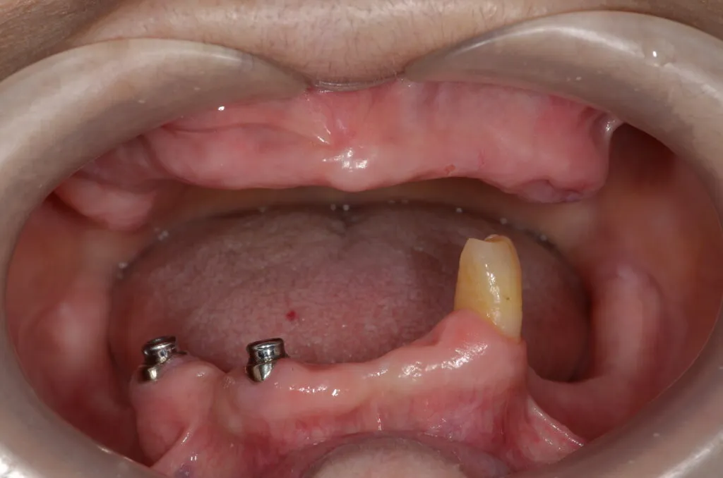
こちらの患者様の場合
【期間】2ヶ月
【費用】¥350,000~¥450,000/片顎(税抜)
【デメリット】精密に製作するため、保険の入れ歯よりも回数・費用がかかります。
上の写真は当院で上下総義歯を作製された患者さんです
命の入り口・心の出口

『命の入り口、心の出口』・・・・噛むことは生きることに直結します。
噛むことで脳への血流量が増えると顔の表情が変わり、痴呆予防になります。
また、口は健康のシグナルであり、全身の病気とつながっています。
歯がある方と比較して、歯を失ったかたの医療費が平均して年間10万円以上かかっていることが様々な調査で明らかになっています。それが毎年かかってくることを考えると・・・。
歯が痛くなる前の定期ケアが根づき、膨れ上がる医療費に歯止めがかかるような仕組みが
できるかどうかは、医療従事者の意識、知識、技術いかんにかかわっています。
口を命の入り口にするか、病の入り口にするか。
皆さんはどちらを選びたいですか?
アタッチメント義歯








金属床義歯















