- TOP
- ホワイトニング・エイジング治療
10歳若返る治療とは

自然と外に出かけたくなる口元へ
お口の健康と全身の健康が深く影響しあっていることは、最近の研究からドンドン解明されています。口腔内にある細菌と足のふくらはぎにある細菌が一致した・・・むし歯の原因とされるミュータンス菌が脳出血を促す・・・など、お口を健康にしておくことが生涯健康で暮らしていくために必要なのは間違いなさそうです。
一方で、同じくらい大切なのは『健康なお口が若さの秘訣』であることです!精神的な豊かさはもちろん、お肌のハリや、バランスの良い栄養摂取にも深く関係しているのです。
健康的な白い歯を再現したい方へ ~ホワイトニング~
第一印象で記憶に残るのは『目』と『歯』と言われています。
共通していることは『白さ』が目立つほど『健康的』な印象を与える…という点です。
ですが、日本人は歯が黄ばみやすい人種である為、笑顔にコンプレックスを抱く方は少なくないようです。
ホワイトニングをすることで、黄ばんでいた歯も、本来持っていた自分の歯の色に近づけることが出来ます。
また、ホワイトニングに含まれる成分は『歯を守る』ことも判明しています。
Uデンタルオフィスの患者さまからも、ホワイトニングは『もっと早くしておけば良かった』と言われる治療の一つです。
いつまでも若々しく、健康な歯を維持する為にもホワイトニングはおすすめです。

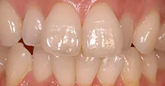
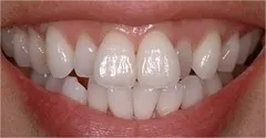
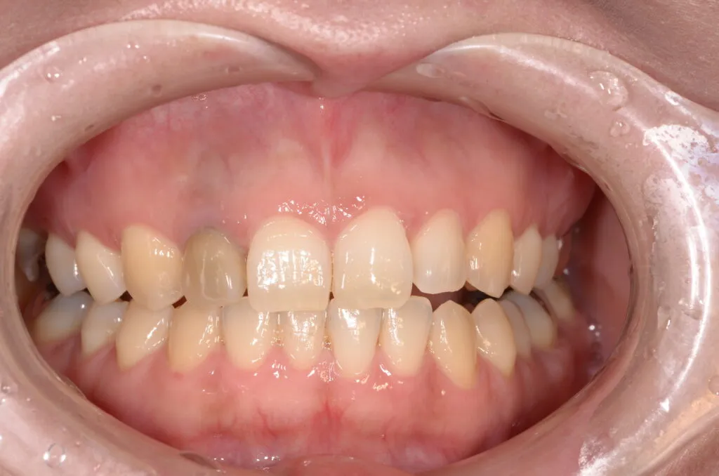
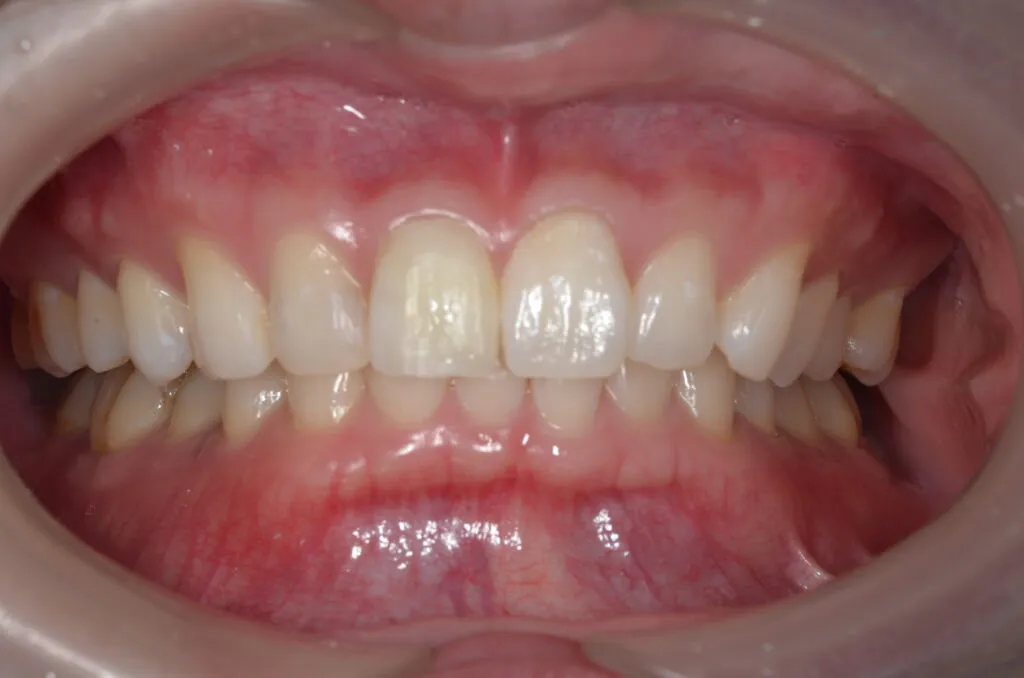
ホワイトニング case1
【ホワイトニング前】

【ホワイトニング後】

【費用】¥20,000~¥40,000(税抜)
【メリット】医療機関ですることにより、安全かつスピーディに歯を白くすることができる。
天然の歯と同じような光を通すため、自然な歯の仕上がりになります。
【デメリット】保険適用外となる。
放置するともとの色に少しずつ少しずつ戻る。
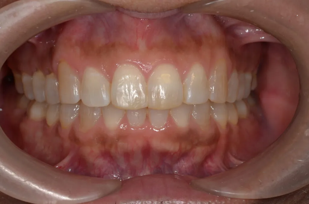
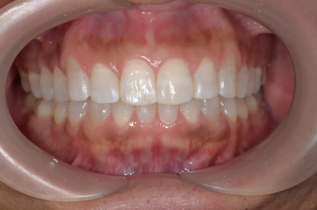
ホワイトニング case2
【ホワイトニング前】

【ホワイトニング後】

唾液の分泌が若返りの秘訣 ~ガムマッサージ~

唾液には、皮膚が傷ついたときに修復する「上皮成長因子」と神経細胞を活性化し、脳機能を回復する「神経成長因子」が含まれています。つまり、唾液には皮膚と脳の老化を抑える働きがあるのです。
実際に、唾液が少ないドライマウスの人は「フリーラジカル」という老化の原因となる活性酸素の多い状態になっています。
当院では『ガムマッサージ』により、唾液の分泌を促すだけでなく、副交感神経を刺激することで精神的にリラックスした状態へと導きます。
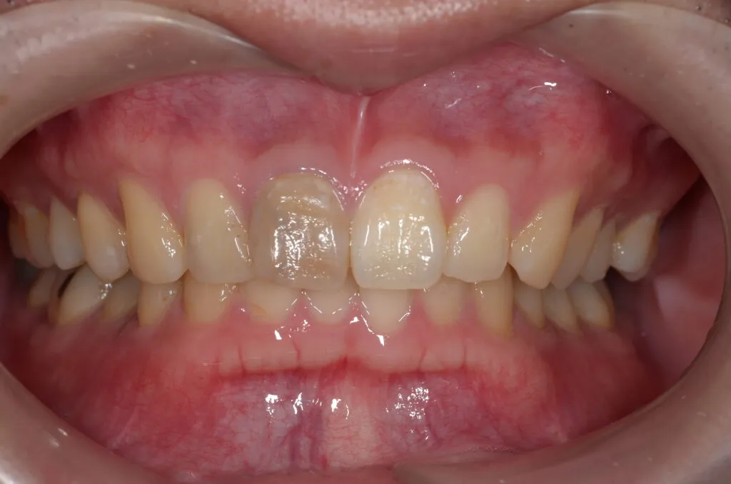
ウォーキングブリーチ case1


ウォーキングブリーチ case2











