- TOP
- 審美治療・セラミック
銀歯が嫌な方へ

歯には、「咀嚼する」という機能に加え、「顔の表情を構成する一要素」という、審美的な側面もあります。
審美治療とは、噛んで食べるための本来の歯の機能を取り戻す治療に加え、外見的な美しさやよい顔の表情を追求する歯科治療です。
当院では、性別・年齢に問わず、見た目の美しさにも徹底的にこだわります。
女性の場合、「笑ったときに銀歯が見えるのがいや」「歯並びが悪く笑顔に自信がない」といった口元のコンプレックスで、なかなか笑顔になれないというお悩みも多く聞かれます。
女性はいくつになっても美に対する想いは大きいものですので、お悩みはどうぞお気軽に相談してください。
「笑顔が自慢です」と言っていただけるよう、全力をつくします。
セラミック治療

セラミックを詰め物や被せものにする治療方法です。セラミックとは陶器のことですので、陶器のお皿をイメージしていただければ分かりやすいかもしれません。
【長所】
● 自然な歯のように透明感のある
美しい仕上がりになる。
● 歯の白さを再現できる。
● 治療後の変色がない。
● 再度むし歯になるリスクが
銀歯よりもかなり低い。
● 金属アレルギーを起こすことがない。
【短所】
くいしばりなどがある場合は、割れるリスクがあるためセラミックより固いジルコニア等を選ぶ必要があります。
【費用】¥60,000~¥150,000(税抜)
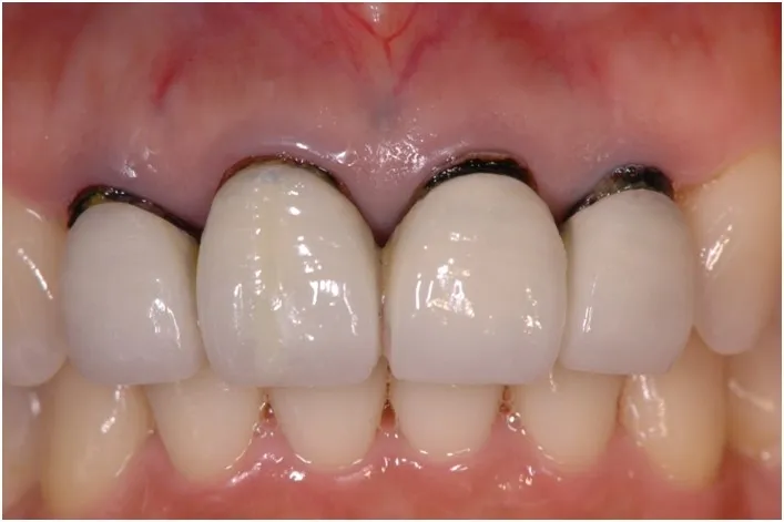
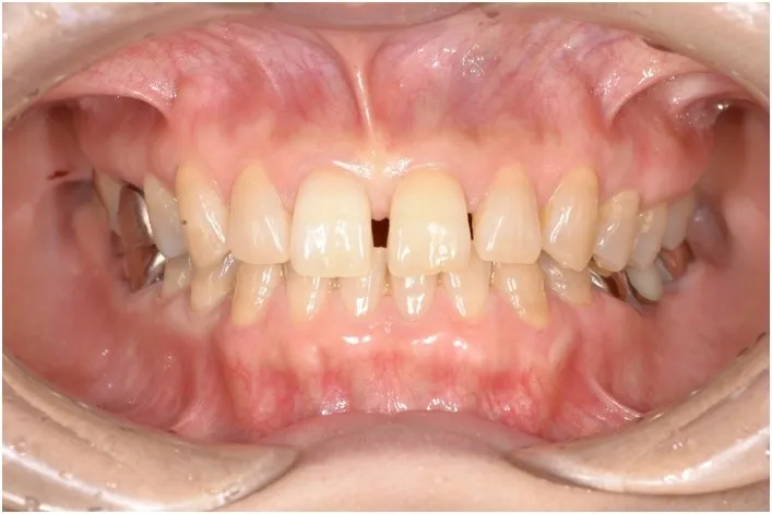
【治療前】

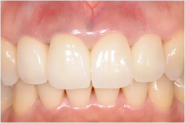
【治療後】

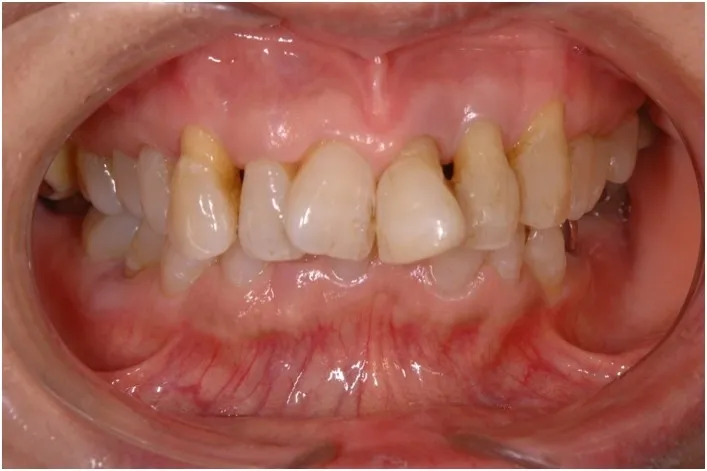
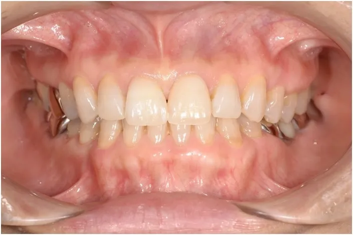
【治療前】

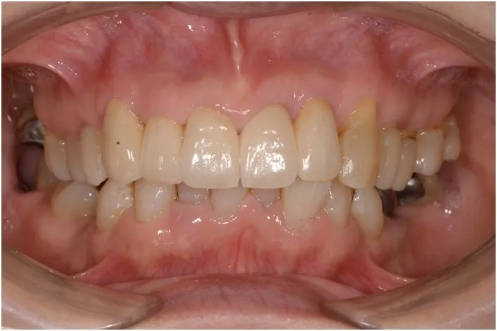
【治療後】

【治療前】

【治療後】

ダイレクトボンディング

ダイレクトボンディングとは、歯科用のレジンを直接、歯に詰めて治療する方法です。
通常、治療する際、型取りをして技工所に出し、被せものなどが出来上がってから治療に移るため時間が掛かります。
ですが、歯科用レジンが進化し、1日で白くきれいに治療することができるようになりました。
ただし、大きすぎるむし歯などには使えない治療法です。また、外傷などがある場合は1日では治療できないこともあります。
【長所】
● 治療痕が分かりづらく、美しく仕上がる
● 多くの場合、1日で治療が終わる
● 自分の歯を削る量が最小限で済む
● 金属を使わないので、金属アレルギーの心配が無い
【短所】
● 長期的には、変色する
● 強い力が加わると欠けることもある
● 大きいむし歯には使用できない
全ての方に適用できる治療ではありませんので、ご興味のある方はご相談ください。
【治療前】

【治療後】

美しいスマイルライン ~ラミネートベニア~

白くしたい歯がさし歯などの場合は、セラミッククラウンに入れ替えることで白く自然な歯にすることができますが、天然の歯の場合、できるだけ健全な歯質は削りたくありません。そんな場合にはラミネートべニアという治療法を用いることで、理想のスマイルラインに近づける事も可能です。歯並びは口元の印象を大きく左右するポイントの1つで、自然な弧を描く口元はいい印象を与えます。
【治療前】

【治療後】

【治療期間】2週間~1か月
【メリット】天然の歯と同じような光を通すため、自然な歯の仕上がりになります。歯をほとんど削りません。長くきれいな色調を維持できます。
【デメリット】強度は高いですが、噛み合わせの悪い人や歯ぎしりがひどい場合はラミネートべニアが割れる場合もあります。
【費用】¥120,000〜150,000(税抜)









