- TOP
- インプラント・口腔外科(移植)
インプラントは気軽にしてはいけません!!

インプラントは手術で顎骨に土台を埋め込み、その上に人口歯冠を装着する治療法です。
顎の骨に直接固定するので、比較的違和感なく固いものを噛むことができるようになります。
しかし、
【インプラント周囲炎】
という言葉を聞いたことがあるでしょうか?
一般の歯周病に比べて、
気がつかないうちに、はやく炎症が進行し、治りが遅い...
という、とてもリスクの高い歯ぐきの病気です。
そのような病気にならない為には
単に噛めることを目的とするのではなく、
【できるだけ長く、健康な状態を保つ】ことを
目的とした治療システムが大切になるのです。
当院では、
あなたのライフプランにあった、
最適、かつ安全なインプラント治療をご提案いたします。
【費用】¥400,000~¥500,000(税抜)/1本
※被せものを含めた金額になります。
For you インプラント ~安全性を考えた インプラント治療システム~
◆ 治療前に精密な検査を実施します
安全にインプラント治療を成功させる為には、
現在のお口のリスクを知る為の検査が大切になります。
当院では、考えうる限り【安全な治療】を実現する為に徹底的に検査を実施します。
【期間】3ヵ月~半年
【費用】¥400,000~¥500,000(税抜)/1本
※被せものを含めた金額になります。
【デメリット】手術が必要なため、身体の状態によってはできない場合もあります。
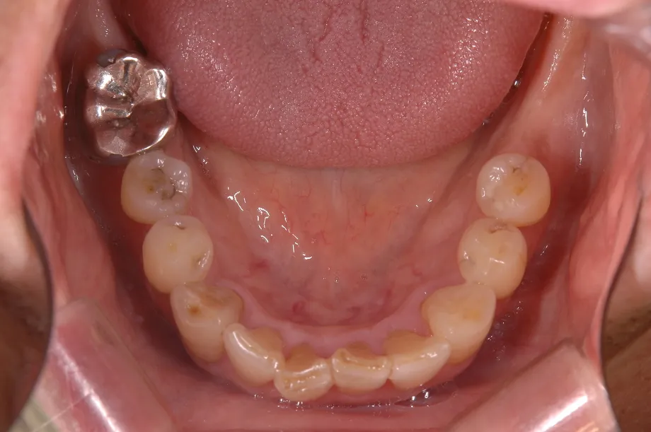
【術前】

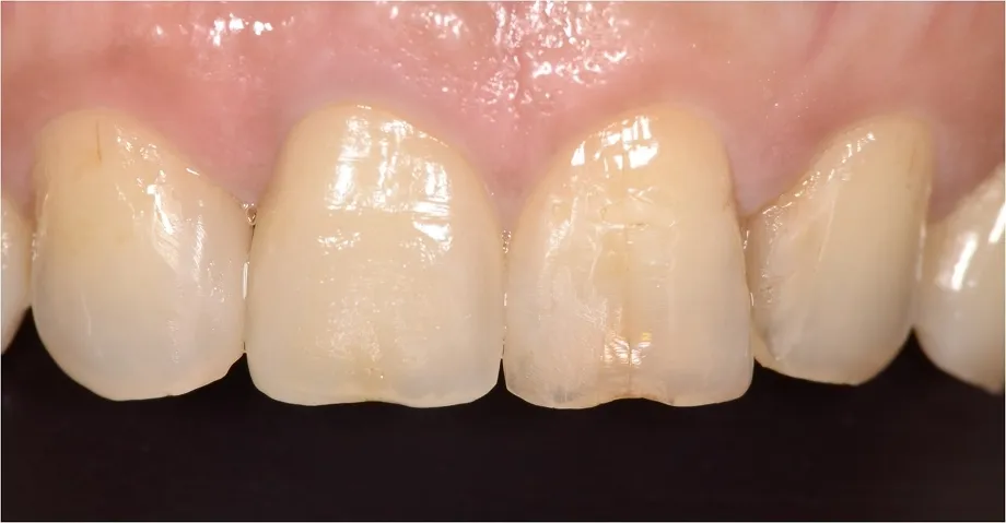
【術後】

【噛み合わせ検査】
| ①CT解析検査 CTによる解析を行います。立体画像診断だけではなく、 『画像処理』ソフトも用いて、通常では確認しにくい骨の状況や血管・神経の配置を明確にします。 ②セファロ分析 骨格的な噛み合わせを分析し、理想に近いスマイルラインを形成します。 ③半調整咬合器による顎位診断 正しい顎の位置を特定する為、下顎運動を測定・解析し、骨格形態を分析します。 ④歯ぎしり・くいしばり検査 歯ぎしり・くいしばりの有無、力のかかり方を確認し、最適な治療に結び付けます。 | ★ CT解析![]() |
★ 顎位診断![]() |
【歯周病検査と光殺菌】 | ★ 光殺菌装置![]() |
◆より安全なインプラント治療法を選択します
治療中は『あなたのためだけの時間』です。インプラント治療中は、医院はあなただけの空間になります。ドクターと3人の歯科衛生士があなたの治療を行います。

【3I ~世界的に実績のあるインプラントの使用】
「3I」という世界的に症例が多く、実績のあるインプラントのみを使用しています。長期間に渡って安心してご使用いただける信頼のあるインプラントです。
【ガイデットサージェリーで安全な治療を実現】
CTで得られた情報を元に、インプラント埋入プランニングソフトでより正確にシュミレーションを行い、安全性を更に向上させます。
【プロビジョナルレストレーション(仮歯)で長期安定】
プロビジョナルレストレーションとは、最終人工歯を装着する前に、テスト的に強化レジン(樹脂)で試作を行う事をいいます。しっかり噛める、発音しやすい、清掃しやすい、他の歯に影響がない、などをこれでしっかり確認することで、インプラントを長期的に安定させることが可能になります 。本歯が入った後、万が一問題が出ても、このプロビジョナルがあることで、すぐに噛めるように回復できます。
【オペ室を使った清潔な環境での手術】
インプラントは異物を生体に埋め込む手術になります。身体がインプラント体を異物と認識した場合には骨はくっつかず抜け落ちてしまうため、徹底した衛生管理下での手術が求められます。
当院ではオペ室を使うことで開業以来、インプラントの失敗(抜けた・噛めない等)は1例もありません。


◆治療が終わってから、より長く健康な状態を維持するために
~For youインプラント専用予防法により、お口の衛生環境と安心感がUP!~
【ウェルネス・サポートによる安心】 | ★歯科衛生士によるメンテナンス |

◆その他 より理想の状態を実現するために
① セラミック専門の技工士による天然歯の再現・スマイルラインの形成
セラミック専門の技工士によって、天然の歯を再現するとともに、あなたに最適なスマイルラインをご提案し、実現いたします。
②静脈内沈静法による治療
胃カメラ検査で辛い思いをしたことはありませんか?
より快適に検査をする為に、ほぼ眠っている内に検査をする方法があります。それと同じく、治療が辛い、心理的な不安が大きい方に 静脈内沈静法によるインプラント治療を ご提案することがあります。







★歯科衛生士によるメンテナンス





