- TOP
- 矯正歯科
当院の矯正治療は

一般に矯正治療といえば、どのような治療を想像しますか?
『治療が長そう...』
『歯が痛いのを我慢しないとダメ』
色々なデメリットが思い出されますね。
しかし歯並びの治療は、その【目的】によって治療法が変わります。
『気になるところだけを治したい』
『歯だけではなく、キレイなスマイルラインが欲しい』
『最近、ニュースにもなる口呼吸のリスクを減らしたい』
...そのような様々なお悩みを、
当院ではお一人おひとりに丁寧なカウンセリングを実践して、
理想の状態を手に入れる為の治療方法をご提案いたします。
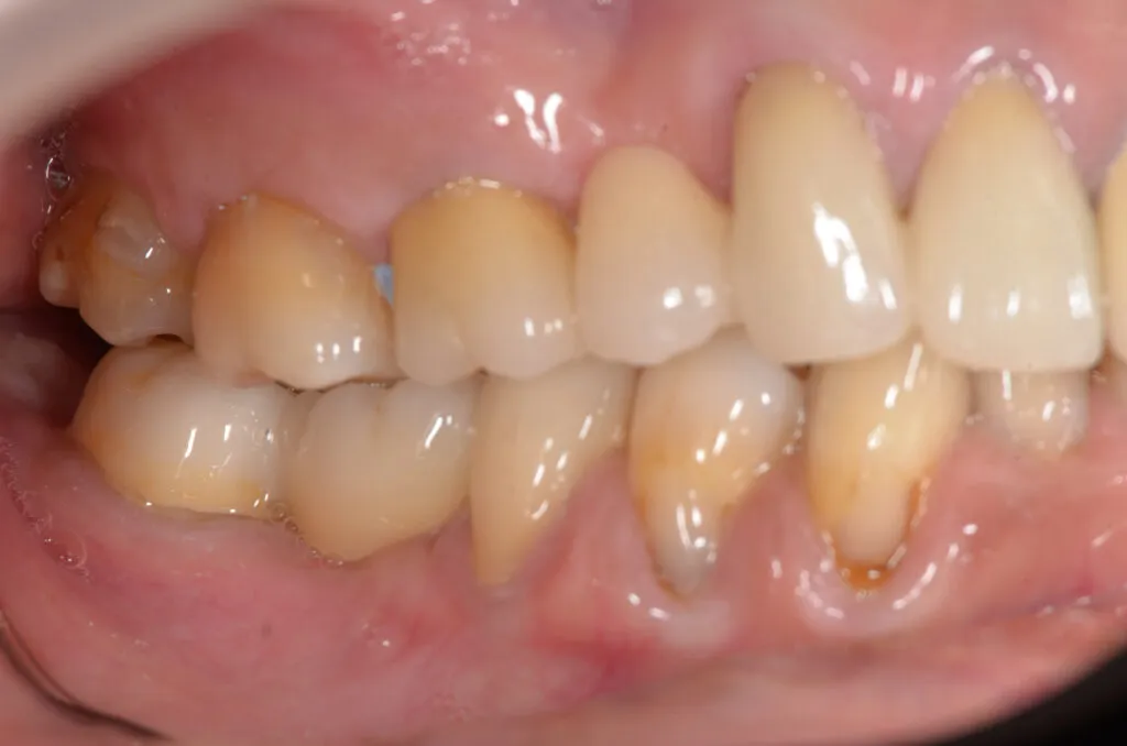
部分矯正(MTM) ~気になるところだけ治す矯正治療~

部分矯正(MTM…マイナー・トゥース・ムーブメント)とは、動かす歯を1本~数本に限定して矯正治療を行う方法です。
部分矯正は、動かす歯を1本~数本に限定して矯正治療を行うので、短い期間で症状を改善できます。被せものを併用した場合はさらに短期間で治療を終えることも可能です。
隙間があいている前歯を移動させる場合や、傾いている歯をまっすぐに修正する場合に有効な治療法です。またむし歯が骨の中まで進行した場合、通常は歯を抜くことになりますが、歯を引っ張りあげることで、保存できる場合もあります。
【費用】¥50,000~¥100,000(税抜)
【リスク】装置を付けている期間は歯磨きしずらい場合がございます。






Lorem ipsum dolor sit amet, consectetur adipiscing elit. Ut elit tellus, luctus nec ullamcorper mattis, pulvinar dapibus leo.
マウスピース型矯正歯科装置 ~目立ちにくい矯正治療~

従来のブラケット(金属の装置)を歯に付ける矯正方法とは異なる、透明なマウスピース型の矯正装置です。
マウスピース型矯正歯科装置は、透明なアライナーというマウスピースを使用し、少しづつ歯を移動します。
いつでも取り外しが可能なので、食事もおいしくいただくことができ、ブラッシングもキレイにできるので、お口の中を清潔に保つことが出来ます。


・透明で目立ちにくいため、接客業や営業など、見た目の印象が大切なかたでも大丈夫です
・ご自分で取り外せるので、大切はイベントがあるときや、写真撮影等でも問題がでません
・ブラケット矯正と違い、ブラッシングがしやすい
・歯を動かす時の痛みが少ない
【短所】
・大きな歯の移動は難しいことがあります
・ブラケット矯正に比べ、期間を要することがあります
【費用】
¥350,000~¥400,000/片顎(税抜)
歯の状況よって、適応外の場合もあります。
期間、費用等も含め、詳しくは歯科医師にご相談ください。
無料相談を行っております。









