- TOP
- バイオブロック矯正
歯並びが気になる方へ

当院では、一般的な小児歯列矯正とは異なるアプローチを行う“バイオブロック”(保険外)を推奨しています。
一般的には、永久歯を抜かずに綺麗に永久歯を並べる小児矯正ですが、矯正後に永久歯が生えてきて歯並びが悪くなったり、綺麗なアーチ型にはなっているけれど上下の噛み合わせが悪くてうまく機能しなかったりと、問題も多くあります。
幼少時の矯正がうまくいかない場合は成人矯正に移行せざるを得ず、小さい頃から高校生くらいになるまで、かなりの年月矯正し続けてしまうということもあります。
また、今の子どもたちは、顔(中顔面:目から口まで)が長い子が多くなりました。
これは、顔が前に成長できずに下に成長してしまうからです。
そうなると、顎が内側に回転して動くため気道が狭くなりやすく、悪い姿勢でしか呼吸できないという子どももいます。
姿勢を悪くしたいのではなく、そうしないと呼吸が難しいのです。
バイオブロック治療
バイオブロック治療(顎顔面咬合育成治療)とは
~お子さまの潜在的な魅力を最大限に引き出す自然な笑顔と
健康的で活動的な生活をサポートする【根本から取り組む】矯正治療~
イギリスのDr.John Mew(ジョン・ミュウ先生)により提唱された自然成長誘導法という考え方を具現化させるためにできた着脱式装置を使った治療です。
生理的な発育方向は上下顎とも前方が優位なのですが、歯並びに問題がある場合、水平方向よりも垂直的に、つまり、顔が長くなる方向への成長の傾向が強くなってしまいます。
この傾向を改善し、良い顔貌と歯並びへ誘導するのがバイオブロック治療(顎顔面咬合育成治療)の特徴です。
【バイオブロック治療の効果】
● 鼻腔から気道にかけて空間が確保されるので、正しい姿勢で楽に呼吸ができるようになったり、 アレルギー疾患が改善されたりと、歯並びだけでなく身体の機能的な所から改善されるという事例もあります。
● 審美的な観点からも、中顔面が前に出ることで頬がふっくらし、顎の回転の角度からの小顔効果も期待できます。
ただし、この矯正は永久歯が生え始める6歳から10歳くらいまでに始めることをおすすめしています。
個人差もありますので、詳しくはご相談ください。
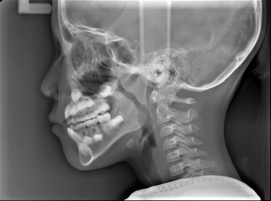
【治療前】

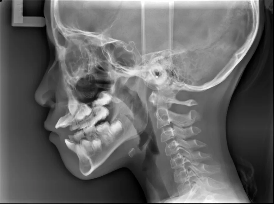
【治療開始から1年後】

【治療前 上顎】

【治療前 上顎】

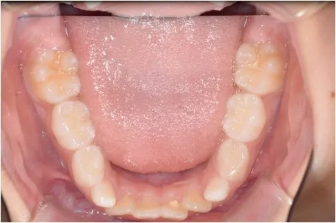
【治療前 下顎】

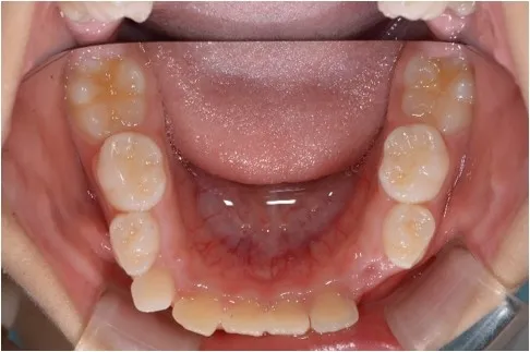
【治療開始から1年後 下顎】

【費用】¥700,000~¥1,100,000(税抜) ※永久歯列完成までのトータルの費用になります。
【リスク】装置を付けている期間は歯磨きしずらい場合もあります。









