スタッフブログ

Uデンタルオフィス スタッフブログ

2022年7月29日 金曜日

お子さまのレントゲン撮影

こんにちは😊歯科助手の北川です!

学校が夏休みに入り、お子さまやお孫さまのお世話で大忙しの方も多いのではないかなと思います。

我が家も子供たちが夏休みに入り、バタバタと過ごしています💦

 

さて、長期休み中に通院を考えている方も多いのではないでしょうか?

当院もお子様の受診が多くなっていますので、今日は検査のお話を😊

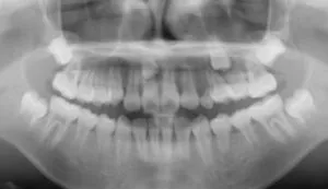
歯科で必要な検査の一つにレントゲン撮影があります。

数本の歯を写す小さなフィルムのデンタル写真では、見た目だけでは分からないむし歯や歯根の状態などを診査します。

特に子どものむし歯は奥歯の間にできることが多く進行も早いため、目視だけでは分からないむし歯の早期発見にとても大切です!

また、歯全体やあごの骨を写すパノラマ写真で全体像を見ると、乳歯や永久歯の状態もわかります。

乳歯から永久歯に生え変わる際に、永久歯が生まれつき足りない「欠損歯」や、余分な歯である「過剰歯」なども分かり、

こちらもとても大切な検査です。

最近歯科矯正を始めた我が家の娘に、なかなか抜けない乳歯があるな・・と思っていたら、本来生えてくるべき歯の隣の歯の上に永久歯が💧

さらに過剰歯があることもパノラマ写真でわかりました💦

 

レントゲン撮影はお子さまへの体の影響もご心配かもしれませんが、

放射線量はデンタル写真では0.01ミリシーベルト程度、パノラマ写真では0.04ミリシーベルト程度です。

人は自然界から絶えず放射線を浴びていて、日本の一人当たりの年間自然放射線量の1.5ミリシーベルトからみても、

歯科のレントゲンはとても放射線量が小さく、撮影時には防護エプロンも付けるのでほとんど体への影響はありません。

安心して大切な検査を受けて下さいね😊              

 

投稿者 Uデンタルオフィス | 記事URL

2022年7月22日 金曜日

食後の歯磨き、いつしていますか?

こんにちは!歯科衛生士の岩元です☺️

 

暑い日が続きますね。

先日、スタバの新作「桃 MORE フラペチーノ」を飲みました。

桃感たっぷりでさっぱりしていて美味しい!!

暑い夏におすすめです。皆さんもぜひ飲んでみてください♪

 

ところで、皆さんは食後どのくらいで歯を磨きますか?

食後すぐ、10分後、30分後・・いろいろな方がいらっしゃると思います。

患者様からも、食後何分したら歯を磨いたらいいのかという質問をいただくこともあります。

結論から言うと、食後すぐ(数分以内)の歯磨きが良いと思います!

食後、お口の中は酸性に傾きます。

酸性に傾くことで歯の脱灰(酸により歯のカルシウムやリンが溶けだすこと)が進行し、むし歯の原因となってしまいます。

食後に歯磨きをせず長時間置くと、歯磨きが先延ばしになり時間が確保できず、長時間磨かないことで歯が脱灰する、ということも考えられます。

こうしたことから、歯の脱灰を防ぐためにも食後の歯磨きはできれば食後すぐ、もしくは数分以内にするのが理想的ではと思います。

また、現在ほとんどすべての歯磨き粉に「フッ素(フッ化物)」というむし歯のリスクを軽減する成分が含まれています。

食後数分以内の歯磨きに加え、フッ化物入りの歯磨き粉を使って健康なお口を保ちましょう✨

 

最後になりますが、夜寝ている時にお口の中のむし歯菌などの細菌は活発になります💦

特に夜寝る前の歯磨きはしっかり時間をかけて行いましょう!! 

                           

投稿者 Uデンタルオフィス | 記事URL

2022年7月15日 金曜日

マスク熱中症に気を付けましょう!

こんにちは😊

受付の山口です!

 

いよいよ夏が始まり、今年の夏もなかなか厳しい暑さになりそうですね🌞

今、とくに「マスク熱中症」が増えているそうです。

マスクをすることで、熱中症のリスクがさらに高くなってしまいます。

コロナ対策も大切ですが、熱中症の予防もとても大切です。

屋外で人との距離が2m離れている時はマスクをなるべくはずして、

喉が渇いていなくても水分補給をこまめにとるようにしましょう!

投稿者 Uデンタルオフィス | 記事URL

2022年7月11日 月曜日

クレンリネスの小林さんに来て頂きました✨

こんにちは!歯科衛生士の安達です🌝

先日、クレンリネスの小林さんに来ていただきました♪

3月に移転してから初めてのクレンリネスだったのですが、

床もピカピカになり、また新品のようになりました✨

翌日にも来ていただいて、毎日のクレンリネスで気になっている箇所も丁寧に相談に乗って頂きました!!

汚れの種類によって使う薬剤や方法が違うので、とても頭を使います💦

スタッフみんなで相談しながらクレンリネスを行っているのですが、

分からないこと、困っていることもあったのでとても助かりました😊

ピカピカになった医院をキープして、患者さんにも気持ちよく過ごしてもらえるように

またスタッフ一同でクレンリネスも頑張っていきます!!

投稿者 Uデンタルオフィス | 記事URL

2022年7月8日 金曜日

娘と染め出しをしました♪

こんにちは😊歯科衛生士の中島です♪

小さかった娘も4月から年中さんになり、

ますます活発でお喋り大好きな女の子に成長しました♡

毎日の歯磨きですが、保育園でも給食後にしているので、

自分で磨く時にどこを頑張るといいか、一緒に練習しています!

子供が自分で見て分かりやすいように、

自宅で染め出しをしてみることに♪

染め出しとは、液を歯にポンポンと塗っていき、

軽くうがいをして、

磨き残しが染まって色が付いた所を確認することです🌝

1歳半や3歳児健診の時以来、自分でするのは初めてだったので、

液を含ませた綿をなかなか口の中に入れられず…

グレープ味に助けられ、やっと染めてうがいしてみると!!

なかなかの染まり具合(笑)

鏡を見て、「キャー!」と驚いていました♡

自分で必死に磨いて、取れない所は一緒にして、

元の真っ白な歯に戻ると、やっとホッとした表情(^^)

美味しいものをたくさん食べられるように、

これからも歯磨き頑張るそうです♪

当院でも歯磨きの練習、虫歯予防のフッ素塗布をしておりますので、

染め出しをされてみたい方は、お気軽にお声かけ下さい☆

投稿者 Uデンタルオフィス | 記事URL

月別アーカイブ

お問い合わせはお気軽に

Uデンタルオフィスは熊本市東区の皆さんに愛される歯科を目指します。相談しやすい環境づくりやスタッフ教育に力を入れている歯科です。

診療時間日/祝
9:00~12:30
14:00~18:00

:13:30~16:30
休診日 水曜•日曜•祝日
祝日のある週の水曜日は診療します